* 중소기업의 성장 파트너 에스오에스데이터랩 *

  • 홈
  • 태그
  • 방명록

파절저항성 1

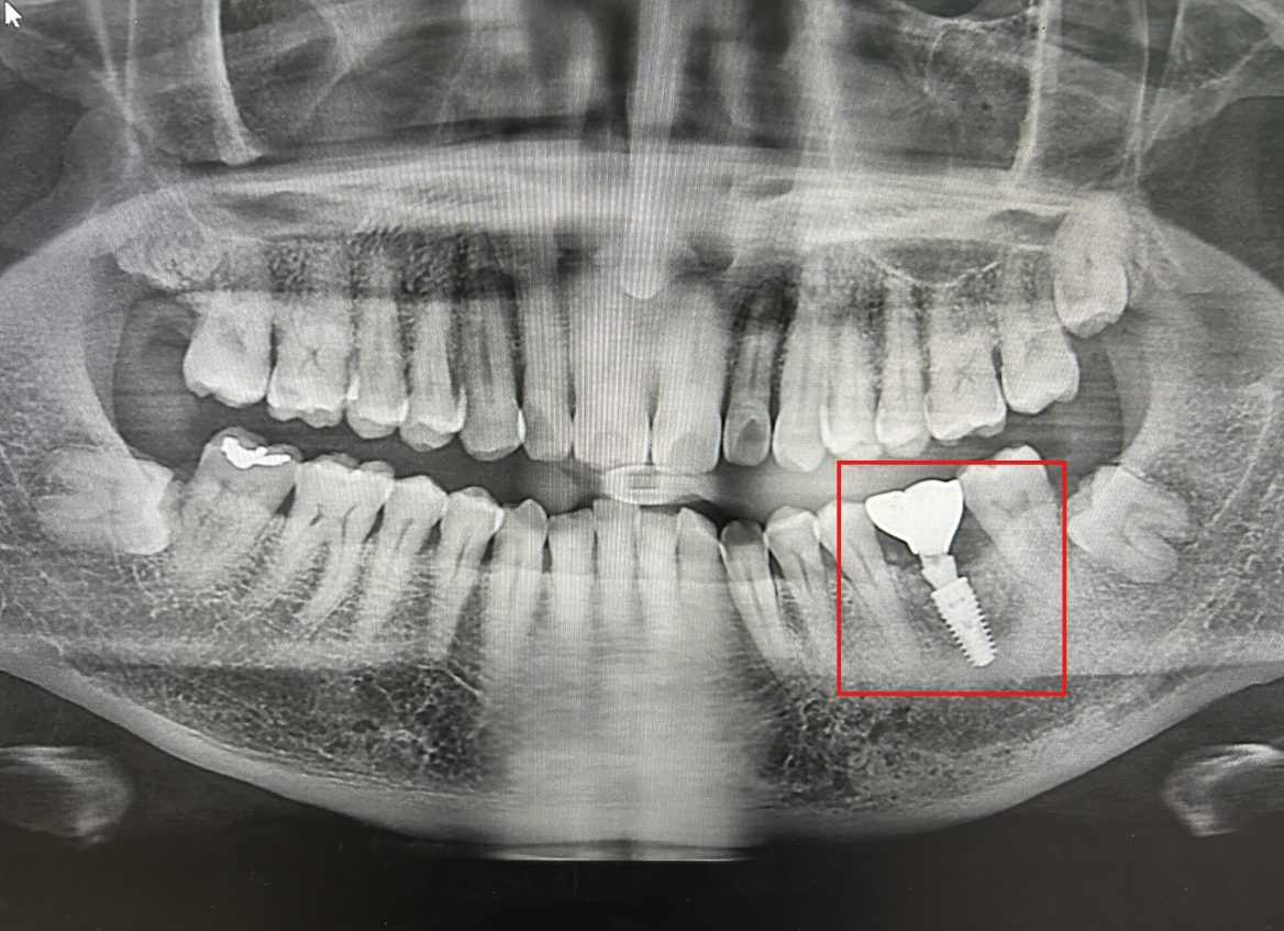
[사진·영상·이미지 한컷] 임플란트 1년 후...'이상 無'

History 2023년 12월 -  치아 제거 수술2024년 06월 - 골 유착 및 융합  (골유착률)2024년 07월 - 나사와 치아 심기 (식립성공률)2025년 03월 - 이상유무검사(파절저항성) 독일'의 정밀 기술!  이미지 속성    P.S.  만 65세 이상은 2개(?) 건강보험적용 된다.   난 내 돈 거금 주고... ㅠㅠ  잇몸과 이빨관리 잘하자!

my라이프로그(my life log) 2025.03.04
이전
1
다음
더보기
프로필사진

* 중소기업의 성장 파트너 에스오에스데이터랩 *

대표/컨설턴트/경영지도사 (중소벤처기업부 등록번호 제12107호) 문의: dsyoon63@gmail.com

  • 분류 전체보기 (222)
    • 법령, 정책 및 정부사업 (11)
    • 학습 및 사례 (24)
    • 도서 (6)
    • CEO Insight (5)
    • my라이프로그(my life log) (173)

Tag

CU고양이춘심, 엘리베이터, 직접생산확인제도, 윤석열, 직접생산확인조사, 수문권양기, 머신러닝, 계엄령, 광릉불고기(도척점), 윤석열척결, 구글AI, 윤석열대통령, 2025년 안산국제거리극축제, 길냥이깜이, 직접생산확인증명, 스마트공장, CU고양이 춘심, 직접생산확인, cu고양이춘식, 유수율제고서비스,

최근글과 인기글

  • 최근글
  • 인기글

최근댓글

공지사항

  • 한국농업기술진흥원 - '저탄소 농산물 인증제 농업인 온라인 교육' 수료
  • (재) 안양산업진흥원 - 2026년 기업지원 전문가(평가위원·멘토) 위촉
  • 2026년 새해 복 많이 받으세요! - Artist 친구로부터 온 '에르메스 붉은 말' t⋯
  • 중소기업기술정보진흥원[TIPA] - 중소기업R&D 평가위원 임기연장(~'26) 완료
  • 안산환경재단 - 2025년 탄소중립 전문가 양성과정 '수료'

페이스북 트위터 플러그인

  • Facebook
  • Twitter

Archives

Calendar

«   2026/01   »
일 월 화 수 목 금 토
1 2 3
4 5 6 7 8 9 10
11 12 13 14 15 16 17
18 19 20 21 22 23 24
25 26 27 28 29 30 31

방문자수Total

  • Today :
  • Yesterday :

Copyright © Kakao Corp. All rights reserved.

티스토리툴바